铁甲长戈死未忘,堆盘色相喜先尝。
螯封嫩玉双双满,壳凸红脂块块香。
多肉更怜卿八足,助情谁劝我千觞。
对斯佳品酬佳节,桂拂清风菊带霜。

这是《红楼梦》第三十八回
《林潇湘魁夺菊花诗 薛衡芜讽和螃蟹咏》
黛玉对吃蟹的感叹。
螃蟹含有非常丰富的蛋白质、钙、铁...
对身体有很多好处。

虽说一年四季皆有蟹吃,
但是在秋天才是吃蟹的上好时节。
有说“秋风起,蟹脚痒;菊花开,闻蟹来”,
每年10月正是螃蟹黄多油满之时,
所以有食家言“秋天以吃螃蟹为隆重之事”。

▲种植牙患者蟹八件吃蟹
小美就在昨天,
吴中店、湖东店,
同时为种植牙老人们准备了螃蟹,
体验缺牙恢复后吃蟹的快感!
顺便教大家如何正确吃螃蟹!

▲(湖东机构)

▲(吴中机构)

▲(大闸蟹)
说到这里,小美特别想说一句,
缺牙真的会错失很多美食,
因为没有好的牙口可以吃啊!

▲参加品蟹会的老两口 总有温暖在美奥
苏州人应该都知道苏阿姨,没有一颗缺失牙,容光焕发,打破了人老就会掉牙的谣言,其实掉牙是因为牙周病,而不是年龄引发。

▲“苏阿姨” ,苏州新闻广播“苏阿姨谈家常”主持人
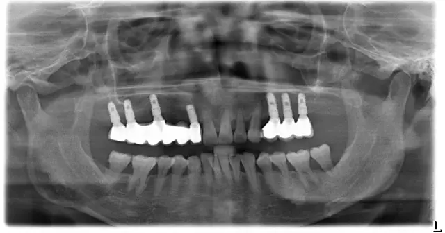
比苏阿姨还年轻的一位美奥种植牙患者,缺牙严重,影响吃饭咀嚼,间接影响了消化和肠胃。

▲种植前

▲种植后
种牙之后让她有了很大的改变,听说是刚刚在山塘街拍完写真照赶过来的,点击语音,直接感受阿姨的分享。

▲种植牙过来人张阿姨
“笑容好看,健康快乐,吃嘛嘛香”是缺牙修复后张阿姨的感受!
张阿姨还说:“要先爱自己,照顾好自己,才有好的身体去爱父母、爱子女、爱朋友。”

▲美奥口腔王汉禹院长做种植分享
美奥王汉禹院长也表示,如果对缺牙置之不理,那么旁边的牙齿也会慢慢倾斜,牙槽骨会渐渐萎缩,咀嚼能力下降,影响营养摄入,进而影响身体健康。


如果牙齿长时间缺少牙根的支撑,牙槽骨将会严重萎缩造成牙弓走位,且支撑脸型的能力也会降低,脸部会跟着改变,比同龄人显得苍老。

所以牙齿出现缺失时候,一定要及时修复,以免造成更严重的后果。
All-on-4种植牙(四颗恢复半口)等针对多颗,半/全口种植牙方面的技术,被越来越多的种植牙医师应用到临床上,帮助患者实现、高效的缺牙重生过程。
▼
蟹八件品蟹花絮

先不说详解步骤,叔叔阿姨们操作的有模有样。


种植牙吃螃蟹,啥也不愁。

晚年生活,能吃即是福。

▼
10步图解正确吃蟹
Step 1、剪掉大闸蟹的八只脚,包括两只大钳,放凉后其中的肉会自动与蟹壳分开,很容易被捅出甚至是被吸出,因此要留待后面来吃。

Step 2、将蟹掩(即蟹肚脐部分的一小块盖,公蟹母蟹形状不同)去掉,顺势揭开蟹盖;

Step 3 、先吃蟹盖部分,用小勺把中间的蟹胃部分舀出,轻轻将外面包裹着的蟹黄吮干净。注意,不要吮破中间那个呈三角锥形的蟹胃,应将其丢弃;

Step 4 、吃完蟹盖轮到蟹身,先用剪刀将多余的蟹脚、蟹嘴和蟹肺剪掉;

Step 5、用勺柄将蟹身中间一个呈六角形的片状物挑出来,那是蟹心部分,丢弃;

Step 6、用小勺舀点醋淋在蟹身上,然后把蟹身的蟹黄蟹膏吃干净;

Step 7、把蟹身掰成两半,此时可见呈丝状的蟹肉。只要顺着蟹脚来撕,就可以将蟹肉拆出。吃干净的蟹壳是完整呈半透明状的;

Step 8、用剪刀把蟹腿剪成三截,末尾一截蟹脚尖可充当工具。先用蟹脚尖细的那一头把蟹腿中段的肉捅出来,再用蟹脚尖粗的那一头把蟹腿前段的肉捅出来;

Step 9、将蟹钳分成三段,前两段都可将蟹壳直接剪开,用勺舀出肉。剩下的那只钳子,技巧是剪开两边,然后用手往相反的方向掰两只钳脚,钳壳就完整的分开了;

Step 10、吃完螃蟹洗洗手,喝上一杯暖暖的姜茶,酒足饭饱,幸福的时光不过如此。

好牙好口福 暖胃暖人心

如有牙齿问题,
可拨打400-150-0001询问 点击咨询详情
直接咨询预约可免除挂号费哦!